X

Get Instant Callback

Didn’t Find What You Were Looking for! Get a call back from Expert Dentist

Captcha

Dental Teeth Cleaning Cost in Panchkula

Discover clear pricing and expert care at Clove Dental—your smile deserves it

Book Appointment
main-banner main-banner

Why Is Professional Teeth Cleaning Essential for Oral Health?

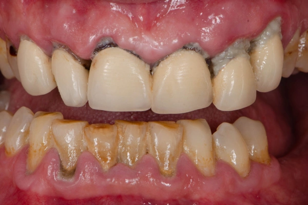
Brushing and flossing clean visible areas of teeth, but they cannot remove hardened deposits beneath the gumline. When soft plaque is left behind, it hardens into calculus (tartar), which cannot be removed at home. Professional cleaning prevents gum disease, bad breath, stains, and long-term damage to the teeth and supporting bone.

What Is Dental Calculus (Tartar) and How Is It Formed?

Calculus is hard yellowish deposit that forms over and between teeth when plaque is not removed on time. Plaque is a soft film of bacteria, food debris, and saliva. Within 24–72 hours, minerals in saliva harden this film into tartar, which firmly adheres to tooth surfaces and the gumline.


Once formed, it cannot be removed by brushing. Attempts to scrape it off at home can injure the gums and worsen infection. Professional cleaning is the only safe way to eliminate these deposits and restore gum health.

How calculus forms:

  • Food debris + bacteria form sticky plaque
  • Salivary minerals harden plaque into calculus
  • Tartar attaches firmly, attracting more bacteria

Effects of Avoiding Professional Teeth Cleaning

Neglecting tartar can result in:

Man holding cheek in pain

Gingivitis (early gum problems)

Gums become red, swollen, and may bleed while brushing.

Cracked tooth diagram

Periodontitis (advanced gum disease)

Gums may recede and teeth may feel loose if ignored.

Woman holding cheek

Persistent bad breath

Tartar allows bacteria to thrive, causing chronic mouth odour.

Pus or boil near tooth

Tooth loss risk

Advanced gum disease leads to loosening and eventual loss of teeth.

Types of Teeth Cleaning Procedures & Cost at Clove Dental in Panchkula

Man holding cheek in pain

Scaling (Professional Cleaning)

Removes tartar and plaque from above and below the gumline. Ideal for routine preventive care.

Starting Price

₹1,690

Cracked tooth diagram

Polishing

Smoothens tooth surfaces after scaling, removes mild stains, and helps prevent new deposits from forming.

Starting Price

₹890

Woman holding cheek

Deep Scaling

Recommended for bleeding gums, deep pockets, or early bone infection. Usually done in multiple visits to restore gum health.

Starting Price

₹2,490

Pus or boil near tooth

Periodontal Maintenance & Debridement

For advanced gum disease. Specialised cleaning supports long-term gum health and targets recurrent or resistant infections.

Every dental cleaning at Clove is performed by trained dentists and gum specialists for precision and comfort.

Factors Affecting Teeth Cleaning Cost in Panchkula

Specialised antimicrobial gum therapy for advanced infection includes multiple visits and medication at ₹10,900.

Real Smiles, Real Transformations After Professional Cleaning

See the life-changing oral health results patients experience at Clove Dental.

Why Trust Clove Dental for Teeth Cleaning in Panchkula?

Doctor with patient

Nationwide Presence

650+ clinics across India, making quality dental cleaning easily accessible.

Expert Dentists

India’s largest network of 1,300+ dentists, including gum specialists.

Sterilisation Protocols

India’s largest dental chain with uniform safety and 4-step WHO sterilisation.

Advanced Technology

Ultrasonic scalers ensure quick, comfortable cleaning.

Transparent Pricing

Standardised rates with no hidden charges.

Membership Plans

Offers free check-ups and vouchers for scaling and polishing.

AR

Ashish Razdan

I got my Re Rct treatment done with lower right tooth and Dr Abhilasha and Dr Divya Puri did a great job. Laser and Fillings were painless. Team was amazing assistant Ramesh was good

VJ

vincent john

It was a wonderful experience with Clove dental, I was taken care by Dr. Mohammad Haleem, the way he treated and explanation which is given by him was great. Which was a clear one and Tooth removal was done by Dr. Praveen and it is also done quickly and with safe procurements. thanks To Clove Dental

PS

Preethi S

I had a cavity filling and a tooth extraction done at clove and I couldn’t be more satisfied with the experience. The staff was welcoming, and the dentist(Dr.Thinusha)was highly professional, explaining every step of the procedure to make me feel comfortable. The process was smooth, and I experienced minimal discomfort. The clinic was clean, well-equipped, and maintained a high standard of hygiene. I highly recommend clove for anyone needing dental care.

AK

Ankita Kalhana

I visited the clinic when I was in immense pain, Doctor Sakshi helped me throughout the procedure. I underwent root canal treatment, though my tooth was in a bad shape, she still saved it.

EP

elakkia prakash

Visited for my son's tooth problem...the doc was very cooperative and explained d procedure well...d clinic was very neat and.clean..well maintained...my kid totally enjoyed d ambience and felt like home...so far it's gud n will update after d treatment...

SP

Sonal Pahurkar

I had a great experience with root canal treatment done by Dr.Poornima Banerjee at clove dental.She explained each and every procedure very nicely. Staff is very cooperative and friendly.Recommend all for dental treatment.

Common Myths About Teeth Cleaning

Cleaning loosens teeth
False—cleaning removes tartar. If teeth feel loose, the tartar was holding them in place, masking underlying gum disease.
It damages enamel
False—when performed correctly, cleaning does not weaken enamel. Excessive plaque and tartar, not professional cleaning, are what harm teeth over time.
It’s painful
Superficial cleaning is generally painless. Mild sensitivity can occur and is temporary. Deep cleaning may require local anaesthesia for comfort.

Frequently Asked Questions About Teeth Cleaning Cost in Panchkula

How much does teeth cleaning cost at Clove?
Scaling starts at ₹1,690, polishing at ₹890, and deep scaling at ₹2,490. Prices are standard across all clinics.
How often should I get cleaning done?
Most people need a 6-month preventive check-up. Those with gum issues, misaligned teeth, or heavy tartar buildup may need more frequent visits.
Is it covered by insurance?
Routine cleaning is usually not covered. Clove Membership Plans include free check-ups and cleaning vouchers.
Is teeth cleaning safe for children?
Yes. Children with stains or tartar can benefit from scaling and polishing. However, deposits at a young age indicate poor brushing habits and should be addressed early.
What's the difference between scaling and polishing?
Scaling removes plaque and tartar; polishing smoothens the surface and removes superficial stains.
Can cleaning whiten my teeth?
Cleaning brightens teeth by removing stains but does not change natural enamel colour. Whitening is a separate procedure.

Conclusion

Teeth cleaning is a preventive procedure that protects your gums, teeth, and overall health. At Clove Dental, treatments start at ₹1,690 and are backed by expert dentists, world-class sterilisation, and and affordable membership plans. Book your cleaning at your nearest Clove clinic, or call 1800-309-3232 to learn more about preventive benefits and free scaling vouchers.

Verified
Medically Reviewed
Last Reviewed by Clove Clinical Team on Mar 5, 2026 | Written by Dr. Shreya BDS, PGDCC.

Find a Clove Dental Clinic Near You in Panchkula

Clove Dental clinics are Available in 27 Indian Cities. Book an appointment at Clove Dental Clinics for the best dental treatments by expert dentists/orthodontists for Clear Aligners / Invisible Braces at a reasonable cost. Select your city below to find the

Looking for cost of other treatment in Panchkula

Clove Dental clinics are Available in 27 Indian Cities. Book an appointment at Clove Dental Clinics for the best dental treatments by expert dentists/orthodontists for Clear Aligners / Invisible Braces at a reasonable cost. Select your city below to find the

DISCLAIMER: Please note that the prices mentioned on this page: (a) present a range (depending upon the severity of the dental condition, the technology used in treatment, type of dental products used, etc.); (b) are true as on the date of this page and may change on a later date, in accordance with the standard company policy; (c) may be subject to standard aberrations or generalizations on account of the use of AI in general Google/internet search by you.
Skip to toolbar