X

Get Instant Callback

Didn’t Find What You Were Looking for! Get a call back from Expert Dentist

Captcha

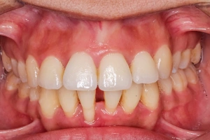
Gum Disease Treatment in Gurgaon for Healthier Gums

Expert treatment for severe gum disease by trained periodontists in Gurgaon

Root Canal Treatment illustration

What Is Advanced Gum Disease (Periodontitis)?

Advanced gum disease is a severe infection affecting the gums and bone that support the teeth. It develops when plaque and tartar cause deep pockets, bleeding gums, and bone loss, also aggravated with the presence of certain underlying systemic diseases. Periodontal treatment removes infection, cleans deep areas, and controls further damage.

Delaying care can lead to loose teeth, gum recession, or tooth loss. Early periodontal treatment is always better as it protects bone, stabilizes teeth, and prevents complex surgical interventions later.

Root Canal Treatment Diagram

Who Needs Treatment for Advanced Gum Disease?

Seek periodontal care if you experience:

Man holding cheek in pain

Bleeding gums while brushing or flossing

Cracked tooth diagram

Bad breath that doesn’t go away

Woman holding cheek

Swollen, red, or tender gums

Pus or boil near tooth

Gum recession or gums pulling away from teeth

Close-up of discolored teeth

Loose or shifting teeth

Man drinking hot beverage

Pus, infection, or deep gum pockets

Tooth with large cavity

Pain while chewing or biting

Dentist consulting with patient

Bone loss or spacing between teeth seen during checkups

Why Patients in Gurgaon Trust Clove Dental for Gum Disease Treatment?

Across Gurgaon, thousands of patients choose Clove Dental for safe and successful Advanced Gum Disease Treatment. Here's why:

Dentist treating a young patient
Periodontists with Expertise
Severe gum disease cases are treated by trained periodontists who specialise in managing gum infections, bone loss, and deep periodontal pockets.
Asepsis & Sterilisation
Clove follows strict four-step sterilisation protocols with sealed and tracked instruments, ensuring complete safety during deep cleaning and periodontal procedures.
Technology-Driven Diagnosis
Digital X-rays, pocket probing, and advanced cleaning systems help detect bone loss accurately and plan precise, targeted treatment.
Pan-India Presence
With 650+ clinics across 27+ cities, your treatment and follow-ups are easily accessible wherever you travel in or around Gurgaon.
Affordable, Transparent Pricing
All periodontal procedures are explained in detail, no hidden costs. You receive an ethical, medically guided treatment plan.

Step-by-Step Gum Treatment

Step 1 :
Evaluation

Clinical examination and digital X-rays to determine infection depth, pockets, and bone loss.

Step 2 :
Scaling & Root Planing

Deep cleaning to remove plaque and tartar deposits above and below the gumline.

Step 3 :
Medication

Antibiotics, mouth rinses, and local antimicrobials to reduce active infection.

Step 4 :
Surgery

Recommended for deep pockets, bone defects, or advanced tissue damage.

Step 5 :
Maintenance

Periodic cleanings and monitoring to prevent recurrence and maintain stability.

The Clove Advanced Gum Disease Treatment Advantage

Experience periodontal care guided by specialist expertise, accurate diagnosis, and strict sterilisation standards — designed to control infection, preserve teeth, and prevent disease progression. Key advantages at Clove Dental:

Features Clove
Clove Dental
Other
General Clinics
Periodontist-led evaluation tick icon Varies
Accurate staging of gum disease tick icon Limited
Advanced non-surgical & surgical care tick icon Varies
High-quality periodontal materials tick icon Varies
Controlled / single-use consumables tick icon Varies
10× sterilisation & audited SOPs tick icon cross icon
Structured maintenance & follow-up tick icon Varies

This specialist-led approach helps stabilise gum health, reduce tooth mobility, and lower the risk of tooth loss.

Treatment Cost & Key Highlights

At Clove Dental, treatment pricing is transparent and uniform across India, with final costs determined only after a clinical evaluation based on individual treatment needs.

Starting Price: Deep Scaling

₹ 2,490*

Final treatment cost depends on

  • Severity and stage of gum disease
  • Number of teeth and areas involved
  • Depth of gum pockets and bone loss
  • Type of treatment & additional treatments if required (deep cleaning, surgical therapy, adjunct care)

Specialist Expertise You Can Trust

Periodontist-guided care for advanced gum infections

Advanced, Globally Approved Equipment

Precision tools for deep cleaning and gum therapy

High-Quality Materials & Controlled Consumables

Clinically proven materials for periodontal treatment

Audited SOPs & Stringent Sterilisation Protocols

Strict infection-control standards followed at every stage

Why Clove Dental Offers Better Value Than Other Clinics

Advanced gum disease is a progressive condition, and long-term outcomes depend on accurate diagnosis, specialist-led treatment, and consistent maintenance care.

Before choosing a clinic, it’s important to ask

  • Is gum disease staged and treated by a specialist?
  • Are deep infections managed beyond surface cleaning?
  • Is treatment planned to prevent further bone loss?
  • Are hygiene and sterilisation protocols strictly followed?

At Clove Dental, advanced gum disease is managed by trained periodontists using targeted treatment protocols, high-quality materials, and strictly audited sterilisation standards, helping control infection, preserve natural teeth, and support long-term oral health.

After Gum Disease Treatment: What to Expect & How to Care

Mild tenderness, slight bleeding, or sensitivity after deep cleaning or periodontal therapy is normal. Brush gently with a soft-bristled brush, avoid smoking, and follow the dentist’s instructions carefully. Consistent oral hygiene and regular maintenance visits are crucial for keeping gum disease under control.

What’s Normal During Healing

  • Mild gum soreness for 2–3 days
  • Slight bleeding while brushing
  • Temporary tooth sensitivity
  • Reduced swelling over time
  • Improved breath and gum color
  • Gradual tightening of teeth as inflammation reduces

Frequently Asked Questions

How is advanced gum disease treated at Clove Dental Gurgaon?
Treatment includes deep cleaning, infection control, laser therapy, and if required, periodontal surgery for advanced bone loss.
Is gum disease reversible?
Early stages (gingivitis) can be reversed. Advanced gum disease cannot be reversed but can be controlled successfully with treatment.
How much does gum disease treatment cost?
Costs depend on pocket depth, bone loss, and procedures required. All charges are explained clearly with no hidden fees.
Are periodontal treatments painful?
No. Procedures are performed under local anesthesia, ensuring comfort. Mild soreness afterward is normal.
How long does treatment take?
Deep cleaning may require 1–2 sessions. Advanced cases may need additional periodontal therapy or surgery.
Can gum disease cause tooth loss?
Yes. Periodontitis affects the bone supporting your teeth. Timely treatment helps prevent tooth mobility and loss.
Is bad breath related to gum disease?
Often yes. Infected gums harbour bacteria that cause persistent bad breath. Treatment helps eliminate the cause.
Are Clove clinics equipped for periodontal treatment?
Yes. Clinics offering gum care have trained periodontists, advanced tools, and strict sterilisation systems.
How often should I visit for periodontal maintenance?
Every 3–4 months, depending on your gum condition and healing response.
Can smoking worsen gum disease?
Yes. Smoking slows healing, increases infection risk, and accelerates bone loss.
Are antibiotics required for gum disease?
Sometimes, especially in cases of active infection. They are used alongside cleaning—not as a standalone treatment.
Can gum disease affect overall health?
Yes. Periodontitis is linked to diabetes, heart disease, pregnancy complications, and systemic inflammation.

Book Your Advanced Gum Disease Treatment Appointment Today

Don’t delay necessary dental care. Book your Advanced Gum Disease Treatment in Gurgaon with Clove Dental and experience:

Trusted dentists Transparent pricing Modern, pain-free treatment Multiple clinics near you
Dentist holding instrument Dentist holding instrument

Find a Clove Dental Clinic Near You in gurgaon

No matter where you are, expert medical support is always close by, from quick checkups to advanced treatment. Search “clinic near me” and take the first step toward your smile.

Searching for Dental treatments near you ?

No matter where you are, expert medical support is always close by, from quick checkups to advanced treatment. Search “clinic near me” and take the first step toward your smile.

DISCLAIMER: Please note that the prices mentioned on this page: (a) present a range (depending upon the severity of the dental condition, the technology used in treatment, type of dental products used, etc.); (b) are true as on the date of this page and may change on a later date, in accordance with the standard company policy; (c) may be subject to standard aberrations or generalizations on account of the use of AI in general Google/internet search by you.
Skip to toolbar