Say goodbye to discomfort from mouth ulcers. Get fast relief with Clove Dental’s care.
Struggling with ulcers that don’t heal or return often, affecting your daily comfort?
Most mouth ulcers heal on their own, but non-healing or recurring ulcers may signal underlying conditions, including early signs of oral cancer. At Clove Dental, we provide gentle, targeted care to relieve pain, speed healing, and treat the root cause for lasting comfort.
Mouth ulcers (also called canker sores or aphthous ulcers) are small, painful lesions that develop on the inner cheeks, tongue, gums, or lips. They can make eating, drinking, or even talking uncomfortable - especially when they keep returning or take long to heal.
You should consider seeing a dentist if you:
There are several types of mouth sores and lesions, each with distinct characteristics:
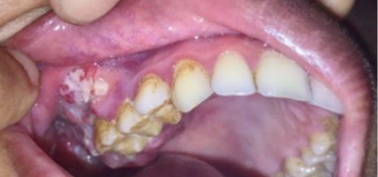
Small, round, painful ulcers inside the mouth. Often triggered by stress, minor injury, or acidic foods.
Caused by accidental bites, braces, sharp teeth, or rough brushing.
White, creamy patches caused by fungal infection, common after antibiotics or in low immunity.
White, lace-like patches or painful sores linked to immune conditions.
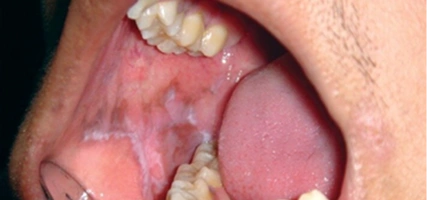
White or red patches that don’t heal. These require immediate evaluation.
Ulcers that persist beyond 2–3 weeks, bleed, or appear with lumps should be checked urgently.
Mouth ulcers can appear for many reasons, and their exact trigger isn’t always clear. However, some factors make certain people more prone to developing them. Getting it evaluated helps understand the causative factor better for prompt & effective treatment.
Most mouth ulcers are easy to identify, but when they’re painful, persistent, or keep coming back, a proper evaluation helps determine the exact cause and the safest way to treat them. Here's how dentists typically assess mouth ulcers:
A basic clinical examination is typically sufficient for a healthcare provider to diagnose mouth ulcers. They will assess the lesions’ location, kind, and appearance.
While discussing your case history, your doctor will inquire about any possible triggers or related symptoms. Alongwith medical history the frequency, duration, and severity of your ulcers too helps understand the situation better.
For severe, persistent, or numerous lesions, few more tests are suggested to understand the recurring cause, namely:
Get personalized advice from India's leading dental specialists.
100% Privacy
Your details are safe and never shared.
Expert Care
Skilled orthodontists handle planning and adjustments.
Standardised Protocols
Uniform aligners treatment approach across all clinics.
Happy Patients
50K+ patients treated with successful orthodontic results.
Most mouth ulcers heal within a few days, but the right care can reduce pain and speed recovery. Below are the evidence-based, medically supported treatments that actually work.
We follow a rigorous multi-step sterilization system and regular hygiene audits to ensure a completely safe environment for every treatment.
Your care is handled by trained, experienced dentists who provide accurate diagnosis and reliable, evidence-based treatment for ulcers.
Our low-level laser therapy offers painless relief and supports faster healing — ideal for recurring or severe ulcers.
With standardized protocols across 715+ clinics, you receive the same high-quality care no matter where you visit.
With 715+ clinics in 26+ cities, access care anywhere your records stay digital, clinics are open on weekends, with late appointments available.
Common questions about Mouth Ulcers
Maintain good oral hygiene, manage stress, stay hydrated, correct nutritional deficiencies, and avoid irritants like harsh toothpaste.
Avoid spicy, acidic, crunchy, and salty foods. Choose soft, cool foods until the ulcer heals.
Occasionally, non-healing or persistent ulcers may indicate infections, immunity issues, or rarely early signs of oral cancer, making timely diagnosis important.
Most ulcers heal in 7–14 days, but repeated or slow-healing sores may need professional treatment.
Yes. Stress, poor sleep, acidic foods, and dehydration can trigger or worsen mouth ulcers.
If an ulcer lasts more than 2 weeks, keeps returning, becomes unusually large, or is accompanied by fever or severe pain – get evaluated.
Real smiles, real stories. Here's what our patients love about their CLOVE Dental experience!

Clove Dental has clinics in 27 cities in India. Find the nearest one for expert Dental Implant care at a reasonable cost.