X

Get Instant Callback

Didn’t Find What You Were Looking for! Get a call back from Expert Dentist

Captcha

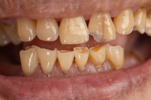
Dental Fillings in Faridabad to Restore Damaged Teeth

Painless tooth fillings by expert dentists in Faridabad

Root Canal Treatment illustration

What Are Dental Fillings?

A dental filling restores a tooth damaged by decay, wear, or minor fractures, preventing the cavity from progressing deeper into the tooth. The dentist removes the decay, cleans the area, and seals it with a durable, tooth-colored material to restore function and prevent further damage.

Delaying a filling allows decay to spread to the inner layers, leading to pain, infection, or the need for more complex treatments like root canals or crowns. Early treatment is always better as it preserves natural tooth structure and maintains long-term oral health

Root Canal Treatment Diagram

Who Needs Dental Filling Treatment?

Cavities may not always hurt at early stages. However, certain signs suggest your tooth needs immediate attention.

Man holding cheek in pain

Sensitivity to hot, cold, or sweet foods

Cracked tooth diagram

Visible holes or pits in the tooth

Woman holding cheek

Brown, black, or white spots on the surface

Pus or boil near tooth

Food getting stuck between teeth

Close-up of discolored teeth

Pain while chewing or biting

Man drinking hot beverage

Rough edges felt with the tongue

Tooth with large cavity

Fractured or chipped tooth

Dentist consulting with patient

Old fillings that feel loose or worn

Why Patients in Faridabad Trust Clove Dental for Dental Fillings

Dentist treating a young patient
Experienced Specialists
Our dentists specialize in diagnosing early decay and restoring teeth with precision, preserving maximum natural structure and ensuring long-lasting results.
Asepsis & Sterilisation
Clove follows strict four-step sterilisation protocols at every clinic, using sealed and tracked instruments to ensure complete safety for every patient.
Technology-Driven Diagnostics
Digital X-rays and cavity-detecting tools help identify decay accurately, even before it becomes visible thus enabling early, painless treatment.
Pan-India Presence
With 650+ clinics across 27+ cities, you can access high-quality dental care anywhere in Faridabad or while travelling across India.
Affordable, Transparent Pricing
Fillings are priced clearly with no hidden charges. You receive honest recommendations based solely on clinical need.

Simplified Step-by-Step Dental Filling Procedure

Step 1 :
Examination & Diagnosis

Your dentist checks the tooth, identifies the cavity, and explains the treatment plan.

Step 2 :
X-ray: Assess Depth & Plan Treatment

An X-ray is taken in every case to evaluate the depth of decay and ensure the right treatment choice.

Step 3 :
Remove Decay

The damaged portion of the tooth is gently cleaned out to stop further infection.

Step 4 :
Place the Filling

Tooth-coloured material is applied and shaped to match your natural tooth.

Step 5 :
Set & Harden

A curing light is used to strengthen and secure the filling.

Step 6 :
Bite Check

Your dentist adjusts the filling for smooth, comfortable chewing.

Step 7 :
Final Polish

The restored tooth is polished for a natural, glossy finish.

The Clove Dental Filling Treatment Advantage

Experience restorative care designed around clinical precision, high-quality materials, and strict sterilisation standards helping repair cavities early and preserve your natural tooth. Key advantages at Clove Dental:

Features Clove
Clove Dental
Other
General Clinics
Dentist-led cavity assessment tick icon Varies
Use of tooth-coloured, high-quality materials tick icon Varies
Proper isolation for moisture control tick icon Limited
Precision cavity preparation tick icon Varies
Controlled / single-use consumables tick icon Varies
10× sterilisation & audited SOPs tick icon cross icon
Focus on tooth preservation tick icon Varies

This precision-led approach ensures stronger restorations, better aesthetics, and longer-lasting fillings.

Dental Filling Treatment Cost in Faridabad & Key Highlights

At Clove Dental, treatment pricing is transparent and uniform across India, with final costs determined only after a clinical evaluation based on individual treatment needs.

Starting Price: Dental Filling

₹ 1,040*

Final treatment cost depends on

  • Size and depth of the cavity
  • Number of teeth requiring fillings
  • Type of filling material used
  • Location of the tooth (front or back)
  • Whether the decay is early or advanced

Specialist Expertise You Can Trust

Accurate cavity diagnosis with conservative tooth preparation

Advanced, Globally Approved Equipment

Precision tools for effective decay removal and restoration

High-Quality Materials & Controlled Consumables

Durable, biocompatible filling materials for long-term performance

Audited SOPs & Stringent Sterilisation Protocols

Strict infection-control practices followed for every filling

Why Clove Dental Offers Better Value Than Other Dental Clinics in Faridabad

Dental fillings may appear simple, but the quality of diagnosis, material choice, and technique directly affects how long the filling lasts and whether further treatment is needed.

Before choosing a clinic, it’s important to ask

  • Is the cavity assessed early or only when pain starts?
  • Are tooth-coloured, high-quality materials used consistently?
  • Is the filling placed under proper isolation for durability?
  • Are instruments sterilised for every patient using audited protocols?

At Clove Dental, fillings are performed using clinically proven materials, precise techniques, and strictly audited sterilisation protocols — an approach that helps restore the tooth effectively and prevent progression to more invasive treatments like root canal therapy.

After a Dental Filling: What to Expect & How to Care

It’s normal to feel slight sensitivity to hot, cold, or pressure for a few days after a filling. Avoid very hard or sticky foods initially and chew on the opposite side if the tooth feels tender. Maintain good brushing and flossing habits to prevent new cavities from forming around the restored tooth.

What’s Normal After a Filling

  • Mild sensitivity for 2–5 days
  • Slight pressure when biting
  • Temporary roughness near the filling
  • Gum tenderness around the treated tooth
  • Light soreness after anesthesia wears off

Frequently Asked Questions About Dental Fillings in Faridabad

How long does a dental filling take at Clove Dental Faridabad?
Most fillings are completed in 20–30 minutes, depending on cavity size and location.
Is getting a filling painful?
No. Fillings are done under local anesthesia when needed. Most patients feel only mild pressure, not pain.
Which filling material does Clove use?
We use high-quality tooth-colored composite resin that blends naturally with your teeth and bonds strongly.
How long do fillings last?
Composite fillings typically last many years with proper oral care and regular dental checkups.
Can I eat immediately after the filling?
Yes, once the numbness wears off. Avoid hard or sticky foods for a few hours to protect the restoration.
How much does a dental filling cost at Clove Dental?
Prices start at ₹X,XXX and vary based on the tooth and cavity depth. All costs are shared upfront.
What happens if I delay a filling?
The cavity will deepen, leading to pain, infection, or the need for a root canal or extraction later.
Can children get tooth-colored fillings?
Yes. Composite fillings are safe and effective for both children and adults.
Are your Faridabad clinics safe and hygienic for fillings?
Absolutely. All clinics follow strict 4-step sterilisation to ensure safe and contamination-free treatments.
Can a filling fall out?
Rarely. If it does, visit your nearest clinic immediately. The area must be cleaned and refilled to avoid re-infection.
Why does my tooth feel sensitive after a filling?
After a filling, the tooth may feel sensitive because dentin tubules are exposed and the pulp is irritated by drilling, heat and bonding agents. The sensation is usually sharp and lasts a few days to two weeks as the tubules seal. Persistent pain, swelling, or bite‑related discomfort should be checked by your dentist.
Do I always need anesthesia for a filling?
Not always. Small or shallow cavities can sometimes be filled without anesthesia. For the ones nearing pulp, sometimes anaesthesia may be recommended for a more comfortable experience.

Book Your Dental Fillings Appointment Today

Don’t delay necessary dental care. Book your Dental Filling Treatment in Faridabad with Clove Dental and experience:

Trusted dentists Transparent pricing Modern, pain-free treatment Multiple clinics near you
Dentist holding instrument Dentist holding instrument

Find a Clove Dental Clinic Near You in Faridabad

No matter where you are, expert medical support is always close by, from quick checkups to advanced treatment. Search “clinic near me” and take the first step toward your smile.

Searching for Dental treatments near you ?

No matter where you are, expert medical support is always close by, from quick checkups to advanced treatment. Search “clinic near me” and take the first step toward your smile.

DISCLAIMER: Please note that the prices mentioned on this page: (a) present a range (depending upon the severity of the dental condition, the technology used in treatment, type of dental products used, etc.); (b) are true as on the date of this page and may change on a later date, in accordance with the standard company policy; (c) may be subject to standard aberrations or generalizations on account of the use of AI in general Google/internet search by you.
Skip to toolbar