Pain-free braces treatment by expert orthodontists in Memnagar
Braces help straighten misaligned teeth and correct bite issues by gently guiding teeth
into healthier positions. They are often recommended when crowding, spacing, or jaw imbalance
affects function, appearance, or long-term oral health. An orthodontist plans each step, ensuring
controlled tooth movement and predictable results.
Delaying braces can worsen alignment, cause uneven tooth wear, and increase risk of gum
problems or jaw discomfort. Early correction is always better, it protects oral health, improves
chewing, enhances confidence, and prevents more complex orthodontic treatments later.
Alignment issues and bite problems may start subtly and worsen over time. Getting evaluated early ensures simpler, more effective treatment.
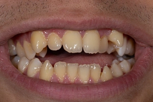
Crowded or overlapping teeth
Gaps or spacing between teeth
Overbite (upper teeth cover lower teeth)
Underbite (lower teeth ahead of upper)
Crossbite or open bite
Protruding front teeth
Early loss of baby teeth affecting alignment
Jaw imbalance or shifting while chewing
Across Memnagar, thousands of patients choose Clove Dental for safe and successful Braces in teeth. Here's why:
An orthodontist evaluates alignment, bite, and jaw position using X-rays and digital scans.
Brackets are bonded, and an archwire is placed to begin tooth movement.
Regular visits to tighten or replace wires for controlled movement.
Instructions on cleaning around braces and managing diet.
Braces removed and retainers provided to maintain your new smile.
When it comes to orthodontic treatment, cost transparency is often missing. Many clinics quote low prices for braces but add charges later for X-rays, monthly visits, or appliances. At Clove Dental, we believe in being upfront from the start, so you know exactly what you’re paying for.
Use this quick guide to understand which type suits your needs, lifestyle, and budget:
Strong, effective, and ideal for all ages. Best for moderate–severe crowding or bite corrections.
Blend with your natural tooth shade. Great for adults seeking a less noticeable option.
Use advanced clips instead of elastic bands. Offer faster appointments and improved comfort.
| Treatment Type | Cost (₹) |
|---|---|
| Metal Braces (Conventional) | Starting at ₹35,000 |
| Ceramic Braces (Tooth-Coloured) | Starting at ₹55,000 |
| Self-Ligating Braces | Starting at ₹65,000 |
General dentistry procedures required for better success of the treatment, such as extractions, fillings, or crowns are charged separately.
No hidden charges. You’ll be informed of all costs before treatment begins.
Many clinics advertise low prices for braces but compromise on essential steps. At Clove, orthodontic care is designed for safety, precision, and long-term success.
At Clove Dental, your treatment is tailored to your teeth, bite, and long-term oral health, never a one-size-fits-all plan.
Once your braces are on, it is normal to experience mild tightness or pressure for the first few days. Eating softer foods, using orthodontic wax, and rinsing with warm salt water can help increase comfort. Maintaining excellent oral hygiene is essential throughout your treatment to prevent plaque buildup around brackets.
Don’t delay necessary dental care. Book your Braces Treatment in Memnagar with Clove Dental and experience:
No matter where you are, expert medical support is always close by, from quick checkups to advanced treatment. Search “clinic near me” and take the first step toward your smile.
No matter where you are, expert medical support is always close by, from quick checkups to advanced treatment. Search “clinic near me” and take the first step toward your smile.

Get a call back from Expert Dentist